Ha sokáig szeretnél élni, kezdd el tisztítani az ereid ezzel a hétköznapi gyümölccsel. A recept:
Ez a filléres kenőcs, megszünteti az ízületi fájdalmakat! Mindenhol kapható, a neve:
Férfiak figyelem! A potencia problémák percek alatt megszűnnek, ha megnyomja erősen a..
Ha visszeres a lábad, sürgősen szerezd be ezt a krémet a gyógyszertárban:
A glutén egy fehérje, amely elsősorban a búzában, a rozsban és az árpában található meg. Amikor a gluténról beszélünk, fontos különbséget tenni három állapot között: a búzaallergia, a cöliákia (lisztérzékenység) és a gluténérzékenység között. Bár mindhárom esetben a gluténhez köthetők a panaszok, a háttérben eltérő folyamatok állnak.
A cöliákia egy autoimmun betegség, amelynél a glutén fogyasztása károsítja a vékonybelet. A szervezet ilyenkor olyan immunválaszt indít, amely a bélfalat támadja meg, ami idővel felszívódási problémákhoz vezethet. A betegséget általában vérvizsgálattal és további orvosi vizsgálatokkal diagnosztizálják. A tünetek között szerepelhet hasi fájdalom, fogyás, emésztési zavarok vagy akár mentális koncentrációs problémák is.
Férfiak figyelem! 65 évesen is olyan kemény potencia, mint 30 évesen. A recept:
Ha papillómákat talált a testén – azonnal tegye meg ezt, mielőtt nagy baj lenne!
Minimum 10 kiló tűnik el egy hét alatt! Megjelent az űrhajósok módszere, olvassátok el, amíg nem törlik!
Nagymamám házi receptje, amitől az inzulintermelés újraindul a cukor pedig beáll 4,6 mmol-ra!
A búzaallergia esetében más jellegű reakció történik. Ilyenkor a szervezet a búzában található fehérjékre reagál allergiás módon, ami kiütéseket, légzési nehézséget vagy emésztési panaszokat is okozhat.
Létezik azonban egy harmadik állapot is, amelyet nem cöliákiás gluténérzékenységnek neveznek. Ennek tünetei sokszor hasonlóak a lisztérzékenységhez, azonban nincs rá egyértelmű laborvizsgálat, ezért nehezebb felismerni. Az érintettek gyakran csak a tünetek alapján gyanakodnak arra, hogy a glutén okozhatja a panaszaikat.
Ha ilyet lát a bőrén, azonnal kezdje meg a kezelést, míg nem késő! Minden reggel, szükséges..
A prosztatagyulladás végleg megszűnik, ha reggelente bedugod óvatosan..
A doktornő elárulta, hogy lesz kemény potencia 70 felett is
A 65 év feletti potencia titka, hogy meg kell húzni kétszer a..
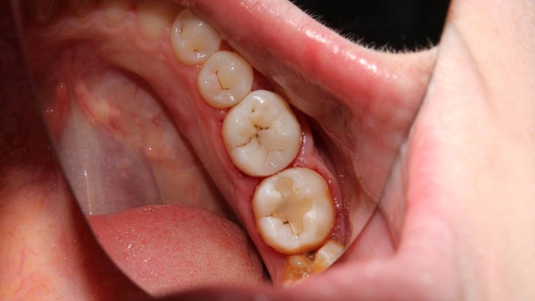
A gluténérzékenység egyik kevésbé ismert jele a fogászati problémák megjelenése lehet. Ha a szervezet nem képes megfelelően felszívni bizonyos vitaminokat és ásványi anyagokat, például a kalciumot vagy a D-vitamint, az hatással lehet a fogak állapotára. A zománc károsodása, a fogszuvasodás vagy a gyakori szájfekélyek is összefüggésbe hozhatók ezzel a problémával.

Sokan tapasztalnak tartós fáradtságot is. Bár a kimerültség számos okból kialakulhat, a gluténre adott gyulladásos reakció a szervezetben hozzájárulhat a levertséghez és az energiaszint csökkenéséhez.
Előfordulhatnak izom- és ízületi fájdalmak is, amelyeket szintén a gyulladásos folyamatok válthatnak ki. Egyesek arról számolnak be, hogy panaszaik enyhültek, amikor gluténmentes étrendre váltottak.
Így csökkentsd házilag a vércukor-és a triglicerid szintet!
Az egyetlen zöldség, ami behatol az ízületekbe és 100%-ban helyreállítja a porcot, az egyszerű...
A becsületes alföldi orvos elárulta, hogyan lehet örökre megszabadulni a magas vérnyomástól..
Férfiak figyelem! Ezzel a trükkel 60 felett is kielégítheti a hölgyeket
A fejfájás és a migrén is gyakrabban jelentkezhet bizonyos esetekben. Kutatások szerint a cöliákiában vagy gluténérzékenységben szenvedők körében nagyobb arányban fordul elő krónikus fejfájás.
Idegrendszeri tünetek is megjelenhetnek. Néhány ember bizsergést, zsibbadást tapasztal a karokban vagy a lábakban, amely összefügghet az idegrendszer érintettségével. Súlyosabb esetekben idegkárosodás is kialakulhat.
Sokan számolnak be úgynevezett „agyi ködről” is. Ez a jelenség koncentrációs nehézségeket, feledékenységet és lassabb gondolkodást jelenthet, ami szintén kapcsolatba hozható a gluténnel kapcsolatos immunreakciókkal.
Hagyja hatni éjszakára, és reggelre elmúlik minden térdfájdalma! Az összetevők..
Alvás közben zsírégetés? Vegye be ezt lefekvés előtt és pár hét múlva mindenki megcsodálja..
Ha 6,7 mmol a cukrod, akkor egyél minden reggel ebből és visszamegy 4,5 mmol-ra!
Ha sokáig szeretnél élni, kezdd el tisztítani az ereid ezzel a hétköznapi gyümölccsel. A recept:
A testsúly ingadozása is előfordulhat. A gluténnel kapcsolatos emésztési problémák hatással lehetnek a tápanyagok felszívódására és a hormonális egyensúlyra, ami egyeseknél fogyást, másoknál súlygyarapodást okozhat.
Az emésztőrendszeri panaszok talán a legismertebb tünetek közé tartoznak. Puffadás, túlzott gázképződés, hasmenés vagy székrekedés is jelentkezhet, különösen akkor, ha valaki glutént tartalmazó ételek fogyasztása után tapasztalja ezeket a problémákat. A bőr is jelezheti, ha valami nincs rendben. Viszkető kiütések, ekcéma, pikkelysömör vagy pattanások is megjelenhetnek, mivel a szervezetben zajló gyulladásos folyamatok a bőrön keresztül is megmutatkozhatnak.
Így oldhatod fel a lábadon a bütyköt! A deformált csont gyorsan eltűnik – csak dörzsöld be…
Ez a filléres kenőcs, megszünteti az ízületi fájdalmakat! Mindenhol kapható, a neve:
Férfiak figyelem! 65 évesen is olyan kemény potencia, mint 30 évesen. A recept:
Ha papillómákat talált a testén – azonnal tegye meg ezt, mielőtt nagy baj lenne!
Sokan ezért kipróbálják a gluténmentes étrendet, hogy kiderítsék, javulnak-e a panaszaik. Fontos azonban, hogy az ilyen változtatásokat lehetőleg orvosi vizsgálat és diagnózis is megelőzze, mert csak így derülhet ki biztosan, hogy valóban gluténnel kapcsolatos problémáról van-e szó.